Dzień dobry!
Implantologia
Implantologia to najskuteczniejsza metoda uzupełnienia braków uzębienia.
Implanty mogą z powodzeniem zastąpić zarówno pojedynczy ząb lub kilka zębów, jak i odbudować pełny łuk zębowy w technice AOX.
Implanty imitują korzeń naturalnego zęba i stają się bardziej popularne niż mosty czy ruchome protezy.
W Dentactiv oferujemy pełny zakres procedur implantologicznych od odbudowy pojedynczego braku zęba poprzez kompleksowe leczenie implantoprotetyczne do leczenia bezzębia lub rozległych braków zębowych metodą All On X - nowy uśmiech w 1 dzień.
Implant stomatologiczny jest to sztuczny korzeń zęba wykonany z tytanu, którym zastępuje się brakujący ząb.
Implanty stomatologiczne są najbardziej skuteczną obecnie stosowaną metodą odbudowy brakujących zębów, ponieważ dają one wiele korzyści dla pacjentów:
uzupełnienie jednego lub kilku zębów
odbudowa pełnego łuku zębowego metodą AOX
przywrócenie prawidłowej funkcji żucia
odzyskanie uśmiechu i pewności siebie
zabieg implantacji przeprowadzany jest w znieczuleniu miejscowym
zabieg jest bezbolesny, a po nim, przez kilka godzin, pacjent może odczuwać niewielkie dolegliwości bólowe lub dyskomfort
implant i odbudowany na nim ząb spełniają te same funkcje co ząb naturalny, a podczas żucia nie odczuwa się praktycznie żadnej różnicy
implant to sprawdzone rozwiązanie – 95% przypadków kończy się powodzeniem
?
-
Biorąc pod uwagę stan ogólny pacjenta implanty mogą być instalowane wyłącznie u pacjentów u których został zakończony wzrost kostny (ok. 18 roku życia), ogólnie zdrowych lub tych, których choroba ogólna nie wpływa istotnie na proces gojenia kości i tkanek miękkich. Decyzję o kwalifikacji pacjenta leczącego się na choroby przewlekłe takie jak np. choroby serca, nadciśnienie, cukrzyca podejmuje lekarz przeprowadzający zabieg po analizie wyników dodatkowych badań oraz konsultacji z lekarzem prowadzącym pacjenta.
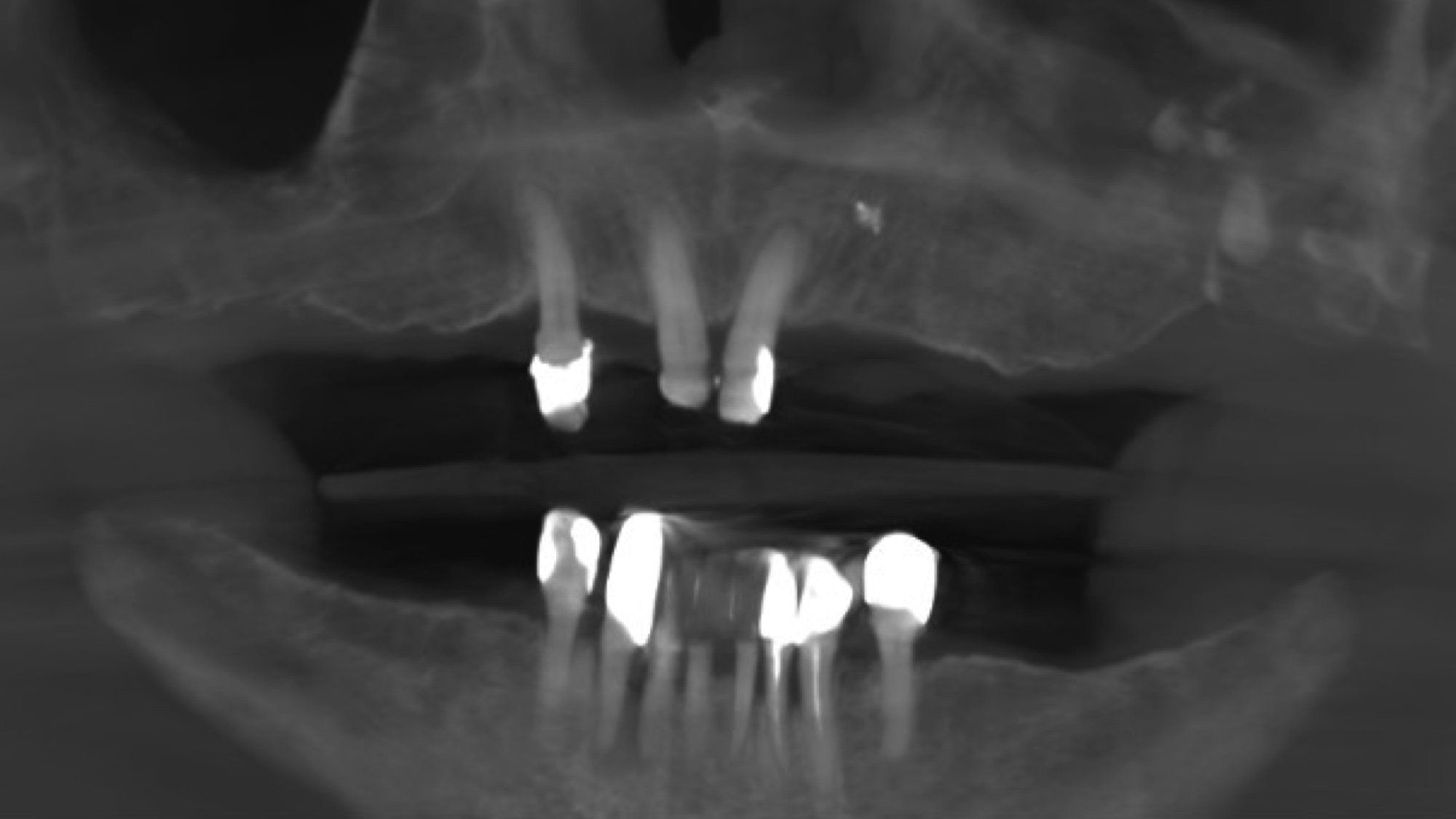
O możliwości leczenia decyduje również wynik badania klinicznego stanu zdrowia jamy ustnej pacjenta w czasie której ocenia się tkanki miękkie, zęby, tkanki przyzębia, zgryz oraz rozległość braków zębowych. Dodatkowe informacje niezbędne do kompleksowej diagnostyki uzyskujemy za pomocą badania tomografii komputerowej 3D, które szczegółowo obrazuje ilość i jakość tkanki kostnej mającej stanowić podłoże dla wszczepów.
Implant jest wykonany w 100% z tytanu, czyli materiału całkowicie biokompatybilnego tj. nieszkodliwego i doskonale tolerowanego przez nasz organizm.
-
Choroby przyzębia mają znaczący wpływ na proces gojenia i późniejszego utrzymania implantów. Jej zaawansowany stan oraz brak dbałości pacjenta o higienę jamy ustnej może stanowić bezwzględne przeciwwskazanie do zabiegu instalacji implantu.
Pacjenci dotknięci chorobami dziąseł i przyzębia nie zostają wykluczeni z możliwości leczenia implantologicznego. Po odpowiedniej terapii, regularnej profesjonalnej higienizacji oraz ustabilizowaniu stanu przyzębia mogą oni także zostać pozytywnie zakwalifikowani do leczenia implantoprotetycznego.
-
Zabieg wszczepienia implantu to zabieg przeprowadzany w warunkach pełnej sterylności. Polega on na przygotowaniu miejsca a następnie wprowadzeniu do niego implantu. Zabieg trwający ok. 30 minut jest przeprowadzony w znieczuleniu, dzięki któremu pacjent w czasie jego trwania nie odczuwa żadnych nieprzyjemnych dolegliwości.
-
Odbudowa zębów na implantach pozwala na uzyskanie większego komfortu pacjentom zarówno przy całkowitych jak i pojedynczych brakach zębów.
Pacjenci z brakami całkowitym doceniają leczenie przy pomocy implantów przede wszystkim za doskonałą stabilność oraz maksymalny komfort mówienia i jedzenia.
Leczenie braków międzyzębowych przy zastosowaniu implantów pozwala na uniknięcie preparacji tzw. szlifowania zębów pacjenta oraz daje możliwość łatwiejszej higienizacji przestrzeni międzyzębowych.
-
Implanty wymagają takiej samej higieny jak zęby własne pacjenta tj. szczotkowanie i nitkowanie zębów co najmniej 2 razy dziennie oraz regularna profesjonalna higienizacja co 6 miesięcy.
Leczenie implantologiczne to proces wieloetapowy, którego długość zależy od przypadku klinicznego.
Przebiega ono według następujących procedur:
Pierwszym etapem jest zabieg chirurgiczny podczas którego implant zębowy jest umieszczony w kości. Zabieg jest wykonywany w znieczuleniu miejscowym dzięki czemu jest bezbolesny. Cała procedura trwa średnio około 30 - 45 minut.
Drugi etap to okres osteointegracji - jest to proces w którym implant zębowy łączy się trwale z kością pacjenta. W zależności od umiejscowienia implantu trwa od 3 miesięcy w żuchwie do 6 miesięcy w szczęce.
Dodatkowe zabiegi jak regenracja kości, wydłużają czas gojenia się implantu.
Tak jak wcześniej korzeń zęba, implant tworzy stabilną podstawę dla korony protetycznej, która będzie widoczną częścią nowego zęba.
Aby implanty przetrwały wiele lat, konieczne jest dbanie o nie tak, jak o naturalne zęby, w tym także regularne wizyty u higienistki stomatologicznej, najlepiej 2 razy w roku.
Dlaczego warto wybrać implanty?
sztuczny korzeń zęba idealnie zintegrowany z kością
zatrzymują proces zaniku kości pomagając zachować odpowiednią jej strukturę
nie generują potrzeby szlifowania i ingerencji w strukturę sąsiednich zębów
brak lub niewielkie dolegliwości bólowe po zabiegu
umożliwiają zastąpienie wyjmowanych protez ruchomych
zapewniają zdrowy i naturalny uśmiech
wysoka estetyka
Pojedyńcze braki zębowe
Utrata zębów jest problemem dotykającym Pacjentów w każdym wieku.
Pierwszą i najbardziej zauważalną niedogodnością związaną z pojawieniem się pojedynczego braku zębowego jest zauważalne obniżenie estetyki uśmiechu.
Rezultatem długotrwałych braków zębowych jest postępujący zanik tkanek kostnych, wynikający z braku ich właściwego obciążenia. Do tego zjawiska może doprowadzić nawet pojedynczy ubytek w uzębieniu, dlatego najlepszym rozwiązaniem problemu jest przeprowadzenie leczenia implantologicznego.
Wszczepienie implantu oraz obciążenie go koroną protetyczną zapobiega zanikowi kości.
Przed
Po
Przed
Po
Przed
Po
Mnogie braki zębowe
Jeżeli pacjent potrzebuje uzupełnić brak kilku zębów, niezależnie od tego, czy są to pojedyncze braki czy brak kilku zębów obok siebie, najskuteczniejszym rozwiązaniem jest leczenie implantologiczne.
Implanty stomatologiczne przywracają wszystkie funkcje mechaniczne zębów, takie jak gryzienie i żucie oraz walory estetyczne uśmiechu.
Przed
Po
Przed
Po
Przed
Po
Przed
Po
Kompleksowe leczenie implantoprotetyczne
Przed
Po
Przed
Po
Przed
Po
Przed
Po
Zbyt długa zwłoka w odbudowie utraconego uzębienia skutkuje zanikiem tkanki kostnej, co może utrudnić albo uniemożliwić implantację. W takich przypadkach konieczne może być odbudowanie tkanki kostnej.
Techniki rekonstrukcji kości są obecnie powszechnie znane, stosowane i bezpieczne.
Zabiegi augmentacyjne
Odbudowa kości zwana również augmentacją kości czy też sterowaną regeneracją kości jest zabiegiem powszechnie stosowanym w implantologii stomatologicznej.
Zabieg ten jest konieczny w przypadku zaniku kości uniemożliwiającego bezpieczne wprowadzenie implantu zębowego i braku przewidywalnego długoczasowego efektu leczenia.
Proces zaniku kości występuje praktycznie w każdym przypadku po utracie zęba lub zębów. Najwięcej kości tracimy w ciągu pierwszych miesięcy po usunięciu zęba a następnie jego tempo maleje.
Przebieg zaniku kości jest procesem indywidualnym , niemniej jednak o tym, ile objętości wyrostka kostnego utracimy decydują:
przebyte zapalenie przyzębia
zmiany zapalne przy korzeniu
urazy zębów
stopień inwazyjności podczas ekstrakcji zęba
indywidualne predyspozycje uzależnione od wieku, niedoboru witamin np. D3 i mikroelementów, ogólnego stanu zdrowia i ewentualnych chorób przewlekłych
Decyzję o przeprowadzeniu zabiegu odbudowy kości podejmujemy po uprzednim przeprowadzeniu diagnostyki radiologicznej tomografii komputerowej CBCT.
Na podstawie tego trójwymiarowego zdjęcia 3D dokonujemy precyzyjnych pomiarów kości w różnych odcinkach, jak również odległości od sąsiadujących zębów i struktur anatomicznych jak dno zatoki szczękowej czy kanał żuchwy.
Jeżeli ilość kości jest niewystarczająca do bezpiecznego wprowadzenia implantu niezbędna jest odbudowa kości, którą możemy wykonać:
jednoetapowo , kiedy jednocześnie wprowadzamy implant
dwuetapowo, kiedy implantacja jest odroczona , czyli najpierw przeprowadzamy zabieg odbudowy kości a po kilku miesiącach wprowadzamy implant zęba
Podczas zabiegów implantologicznych bardzo często zachodzi również konieczność odbudowy lub regeneracji tkanek miękkich, głownie dziąsła wokół implantów.
W tym celu stosuje się zaawansowane techniki z zakresu mikrochirurgii plastycznej tkanek miękkich.
PRZESZCZEPY ALLOGENICZNE BIOBANK
Przeszczepy kostne BioBank przygotowuje według ściśle określonych i rygorystycznych procedur.
Materiał kościozastępczy przygotowany przez BioBank znajduje doskonałe zastosowanie w odtworzeniu brakującej kości przy:
wypełnieniu przestrzeni wokół implantów
augmentacji wyrostka zębodołowego
augmentacji dna zatoki
wypełnieniu zębodołów poekstrakcyjnych
wypełnieniu przestrzeni po torbieli
wypełnieniu ubytków pionowych w chorobach przyzębia
Powody dla których rekomendujemy przeszczepy BioBank :
są alternatywą dla własnej kości pacjenta, której pozyskanie jest bolesne, może wiązać się z powikłaniami, a jej ilość jest ograniczona
zawierają taki sam budulec tj. minerały i kolagen, z którego zbudowana jest kość, dzięki czemu zostaną zintegrowane z kością
są bezpieczne i biozgodne
Przed i po augmentacji
CBCT przed i po augmentacji
Przed
Po
Przed
Po
Przed
Po
Metoda All On X wiąże się z maksymalnym ograniczeniem liczby skomplikowanych zabiegów, w przeciwieństwie do tradycyjnych metod, w przypadku tego rozwiązania nie ma potrzeby wcześniejszego przeszczepu kości.
Metoda All On X pozwala na wszczepienie 4 lub 6 implantów w odpowiedniej pozycji z wykorzystaniem obszarów, w których wciąż jest wystarczająca ilość i jakość kości. Implanty służą jako podpora mostu protetycznego, dając mu stabilną podstawę. W ten sposób przy wykorzystaniu 4 lub 6 implantów możliwe jest odtworzenie całego uzębienia.
Most protetyczny jest przykręcony na stałe do implantów i odwzorowuje naturalne zęby, jest łatwy w czyszczeniu i w utrzymaniu prawidłowej higieny jamy ustnej.
Nowy uśmiech w 1 dzień
Metoda AOX - All On X to innowacyjna koncepcja leczenia rozległych ubytków zębowych, która pozwala Pacjentom odzyskać nowe zęby, wyglądające i funkcjonujące jak naturalne uzębienie.
Polega na odbudowie całego uzębienia na 4 lub 6 implantach.
Kilkuetapowy proces odbywa się w ciągu 1 dnia i umożliwia odtworzenie nowego uśmiechu bez skomplikowanych zabiegów przeszczepu kości.
Dzięki metodzie AOX można cieszyć się pełnym uzębieniem już w dniu wszczepienia implantów.
Przed
Po
Przed
Po
Przed
Po
Przed
Po
Przed
Po
Przed
Po
W Dentactiv pacjentowi zainteresowanemu leczeniem implantologicznym, po wstępnej diagnostyce i konsultacji, przedstawiamy możliwości leczenia, plan i indywidualny kosztorys.
Koszt leczenia zależy od liczby implantów niezbędnych do utrzymania elementów protetycznych.
W przypadku odbudowy pełnych łuków zębowych techniką AOX liczba implantów jest mniejsza niż liczba brakujących zębów.
Duże znaczenie ma czas, jaki upłynął od momentu utraty zęba do chwili rozpoczęcia leczenia - od tego zależy, jakie procedury chirurgiczne będą niezbędne i jaki będzie ostateczny koszt leczenia.
Uzyskanie idealnej estetyki i funkcji wymaga niekiedy zastosowania skomplikowanych technik chirurgicznych a wszystkie dodatkowe zabiegi chirurgiczne lub protetyczne powodują wzrost kosztów leczenia.
Zabieg będzie również droższy w przypadku, kiedy występuje konieczność wykonania rekonstrukcji kości i dziąseł.
Ostateczny koszt zabiegu zawsze określany jest indywidualnie w zależności od istniejących warunków anatomicznych, zakresu zabiegu, oczekiwań pacjenta i zastosowanych materiałów.
Cennik
Pragnąc zadbać o Państwa komfort podajemy przykładowe ceny za usługi oferowane w Dentactiv.
Płatność gotówką / przelew bankowy / kartą płatniczą / BLIK / MediRaty.
Konsultacja implantologiczna
od 100 do 400 zł z CBCT
Wprowadzenie implantu
od 3000 zł
Korona pełnoceramiczna na implancie
3000 zł
Sterowana regeneracja kości
od 2000 zł
Przeszczep tkanek miękkich
od 1000 zł
Podniesienie dna zatoki szczękowej
od 3000 do 5000 zł
All On X
Cena I ETAPU obejmuje:
znieczulenie miejscowe,
ekstrakcję zębów, jeśli jest takie wskazanie
wszczepienie 4 lub 6 implantów techniką AOX
natychmiastowy most tymczasowy w dniu zabiegu
wizyty kontrolne i zdjęcie szwów
od 25 000 do 30 000 zł
Cena II ETAPU obejmuje:
most ostateczny akrylowy lub ceramiczny wzmocniony belką tytanową
od 18 000 do 22 000 zł
Zapraszamy na konsultację implantologiczą
